Docteur CELDRAN Johann. Copyright © Tous droits réservés..
Accueil.Bases physiques.L'imagier.Formulaires.Cotations.Nous contacter.
Recherche par mot clé sur notre site :
Ovaires normaux

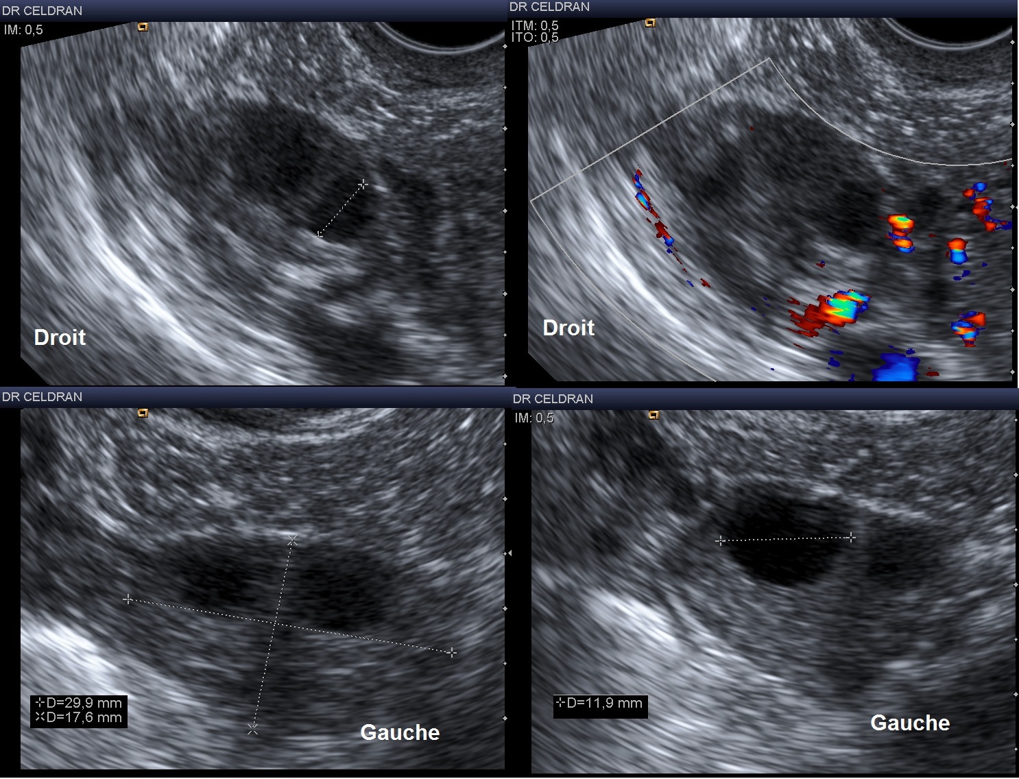
Ovaires normaux par voie endovaginale chez une patiente en période d’activité génitale.

 

 

 

 

- Hypoéchogènes ou isoéchogènes par rapport à l’utérus, les ovaires ne sont pas toujours repérables : ovaires petits, patiente obèse, gaz intestinaux, absence de follicules (ménopause)

- En associant les voies endovaginale et sus-pubienne, on peut considérer toutefois qu’un ovaire au moins est visible dans 95% des cas, que les deux ovaires sont visibles dans 80 à 90% des cas.

- Le volume ovarien habituel varie entre 3 et 10 cm3

- L’ovaire contient en général 5 à 7 follicules de moins de 10mm (aspect pluri-folliculaire physiologique)

- Le follicule dont la taille atteint plus de 14mm peut-être concidéré comme dominant : il commence à se dissocier échographiquement entre le 8ème et le 10 jour du cycle, pendant que les autres follicules vont subir une involution assez lente.

L’image...

Cliquez sur l’image pour la voir en pleine page

L’occasion de rappeler que ...
Docteur CELDRAN Johann

Dimensions de l'ovaire

Ecarts Moyens

Longueur (mm)

25 - 35

Largeur (mm)

12 - 25

Epaisseur (mm)

10 - 15

Surface (cm2) = L x l x 0.8

3 - 6

Volume (cm3) = L x l x Ep x 0.5

3 - 10

Autre patiente : ovaire droit parfaitement visualisé par voie suspubienne avec une sonde basse fréquence

Autre patiente : ovaire droit également visualisé au moyen d’une sonde linéaire haute fréquence