

Cliquez sur l’image pour la voir en pleine page

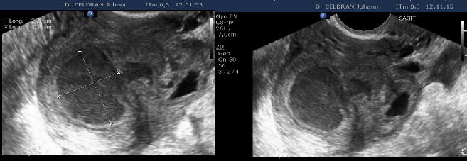
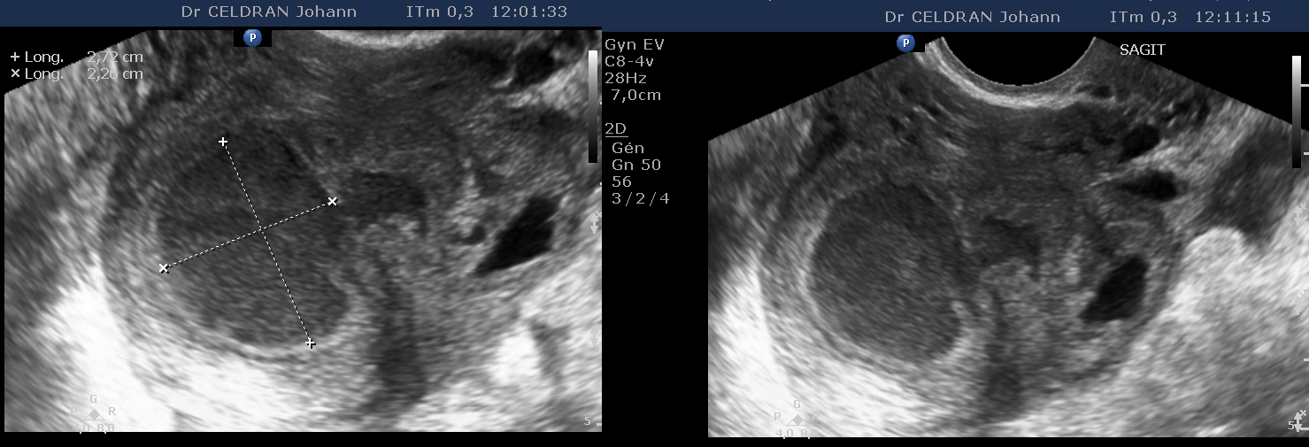
Celle d’un abcès tubo-ovarien (pyosalpinx) droit.
Tableau ciinique de douleur de la fosse iliaque droite avec syndrome infectieux clinique et biologique chez une patiente traitée pour endométrite sur stérilet depuis une 15aine de jours.
L'examen de l'ovaire droit met en évidence la présence d'une formation liquidienne intra-ovarienne mesurant près de 30mm de grand axe, uniloculaire, à contenu finement échogène que l'on parvient à mobiliser à la pression de la sonde et à faire partiellement sourdre dans ce qui semble correspondre la portion toute proximale de la trompe.
Le tissu ovarien entourant cette image liquidienne parait ici épaissi et refoulé, sans follicules échodécelable.
Vous pouvez le retrouver sur ces courtes séquences vidéo : séquence 1 et séquence 2
Dr CELDRAN Johann
Docteur CELDRAN Johann
