

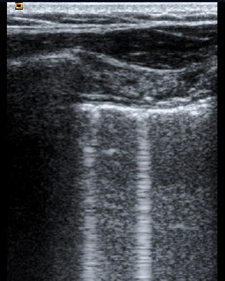
Celle d’une coupe longitudinale montrant un syndrome alvéolaire a minima avec, en arrière d’une couche superficielle d’alvéologrammes hydriques à peine visibles, la présence d’alvéologrammes hydro-aériques sous la forme d’impuretés postérieures (rings downs nombreux et plus marqués que les rings downs habituels du poumon normal) formant une “ trop belle image postérieure ” générée à partir d’une surface pulmonaire parfaitement mobile.
L’image est également visible sur cette courte séquence vidéo : cliquez ici
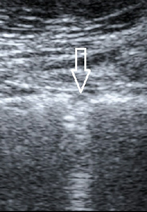
Cette image d’alvéologrammes hydro-aériques atteignant la paroi :
Ceci en opposition avec le coté sain : cliquez ici si vous souhaitez voir cette séquence


Cliquez sur l’image pour la voir en pleine page.


Cliquez sur l’image pour la voir en pleine page.

Cliquez sur l’image pour la voir en pleine page.
Coupe longitudinale présentant un syndrome alvéolaire a minima. Juste en arrière de très minces alvéologrammes hydriques en superficie, mise en évidence d’alvéologrammes hydro-aériques reconnaissables aux impuretés postérieures en queue de comète (formant de “ trop belles images ” artéfactielles).

Cliquez sur l’image pour la voir en pleine page.
Zoom sur l’alvéologramme hydro-aérique juste en arrière d’un minime alvéologramme hydrique