

Cliquez sur l’image pour la voir en pleine page.

Enregistrement en mode TM (Time Mouvement) d’un épanchement pleural minime. Notez la cinétique respiratoire de l’épanchement.
1 : épanchement pleural
2 : surface pulmonaire
Cette cinétique respiratoire de l’épanchement pleural minime peut être enregistrée en mode TM et s’oppose bien entendue à l’immobilité de la pachypleurite

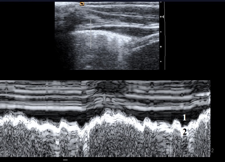
Cliquez sur l’image pour la voir en pleine page.
Enregistrement en mode TM (Time Mouvement) d’un autre épanchement pleural minime. Notez, là encore, la cinétique respiratoire de l’épanchement.
1 : épanchement pleural
2 : surface pulmonaire