


Cliquez sur l’image pour la voir en pleine page

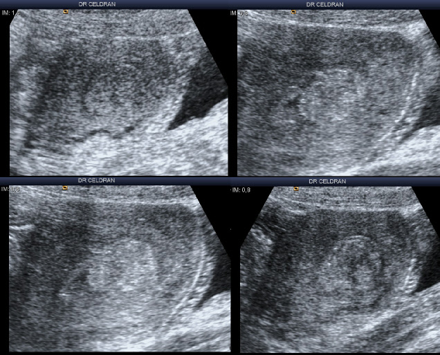
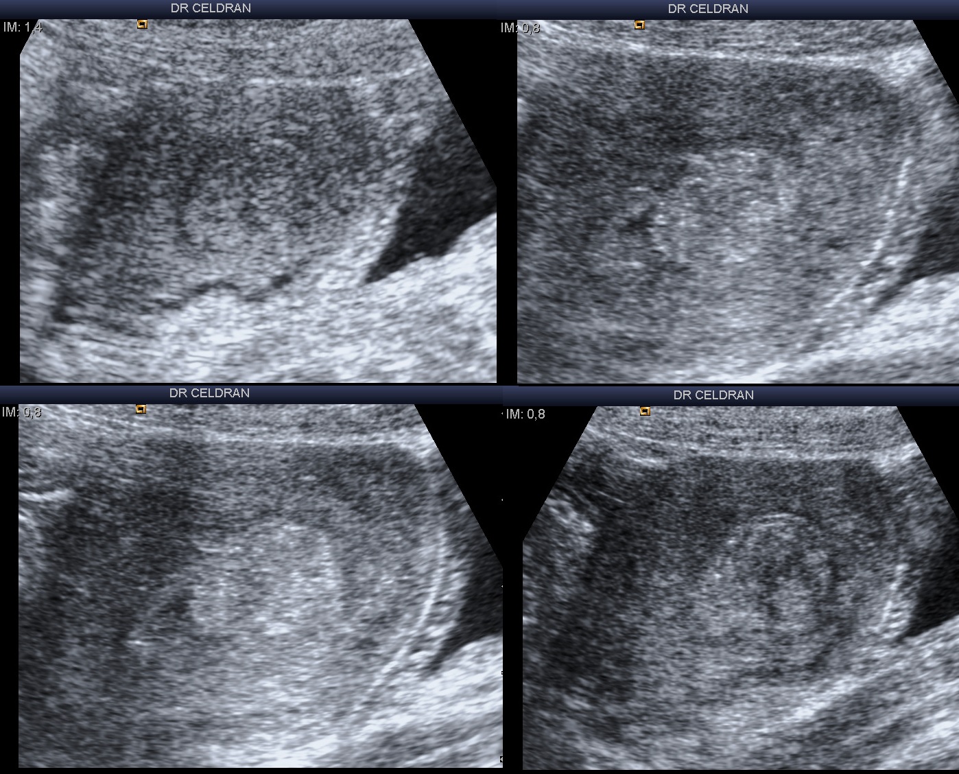
Controle de vacuité utérine par voie sus-pubienne à distance d’une IVG tardive (19 SA).
L’échographie (coupes sagittales) retrouve une image intra-utérine hyper-échogène, dicrétement hétérogène avec quelques cônes d’ombre sur certaines incidences, avasculaire au doppler couleur ou énergie, qui semble se distinguer d’une simple image d’endomètre épaissie : il existe, si on y prête bien attention, un fin liseré hypoéchogène entourant cette image, mais aussi un petit angle de raccordement avec la paroi utérine que souligne une petite image liquidienne à son pôle inférieur.
Rétention placentaire ?
Polype endométrial ?
Fibrome sous-muqueux ?
Une hystéroscopie est programmée et confirme le diagnostic de rétention placentaire.
Docteur CELDRAN Johann